Protista
Filo: Ciliophora
Balantidium significa "bolsa" y Colli significa "del colon"
- Filo: Ciliophora

- Clase: Litosomatea
- Orden: Vestiboliterida
- Familia: Balantidiiae
- Genero: Balantidium
- Especie: Coli
Importancia: capacidad de actuar como parásito patógeno
Filo: Amoebozoa
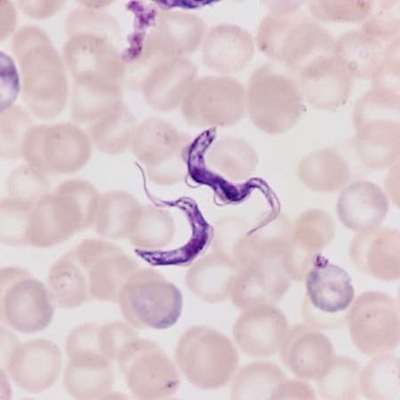
Filo: Euglanozoa

Nombre Científico: Tripanosoma, Brucei
tripanosoma significa "Cuerpo Taladio" y Brucei significa por cientifico "bruce"
- Filo: Euglanozoa

- Clase: Kinetoplastea
- Orden: Typanosomatida
- Familia: Trypaosomatidae
- Genero: Trypanosoma
- Especie: Brucei
Importancia: causa la enfermedad del sueño en humanos
Filo: Euglenophyta
Nombre Científico: Trachelomonas, volvocina

Trachelomonas significa "Cuello" y Volvocina significa "Rodar"
- Filo: Euglenophyta
- Clase: Euglenoidea
- Orden: Euglenales
- Familia: Euglenaceae
- Genero: Trachelomonas
- Especie: Volvocina
Importancia: Su papel en la fotosíntesis y el reciclaje de nutrientes en ecosistemas acuáticos
Filo: Amoebozoa
Nombre Científico: Entamoeba, histolytica
Enta significa "dentro", histo significa "tejido", "lytica" significa "destruir"

Filo: Amoebozoa
Familia: Entamoebidae
Clase: Archamoebae
Género: Entamoeba
Orden: Amoebida
Especie: histolytica
Importancia: Parásito humano; causa disentería amebiana.
Filo: Amoebozoa
Arcella, vulgaris
Arcella significa "pequeña caja", vulgaris significa "común"

Filo: Amoebozoa
Familia: Arcellidae
Clase: Tubulinea
Género: Arcella
Orden: Arcellinida
Especie: vulgaris
Importante en el reciclaje de nutrientes en ecosistemas de agua dulce.
Filo: Ciliophora
Paramecium, caudatum

Nombre común: Paramecio
Etimología:
Paramecium = del griego paramekes (alargado)
caudatum = con "cola" o parte alargada (latín)
Taxonomía:
Filo: Ciliophora
Clase: Oligohymenophorea
Orden: Peniculida
Familia: Parameciidae
Género: Paramecium
Especie: P. caudatum
Importancia: indicador de calidad del agua; modelo en estudios celulares por sus cilios y vacuolas contráctiles.
Filo: Ciliophora
Stentor, coeruleus

Nombre común: Esténtor
Etimología:
Stentor = personaje mitológico con gran voz (griego)
coeruleus = azul (latín)
Taxonomía:
Filo: Ciliophora
Clase: Heterotrichea
Orden: Heterotrichida
Familia: Stentoridae
Género: Stentor
Especie: S. coeruleus
Importancia biológica: Se usa como modelo en regeneración celular; bioindicador acuático.
Filo: Euglenozoa
Euglena, gracilis

Nombre común: Euglena
Etimología:
Euglena = "buen ojo" (griego: eu = bueno, glene = pupila)
gracilis = esbelta, delgada (latín)
Taxonomía:
Filo: Euglenozoa
Clase: Euglenophyceae
Orden: Euglenales
Familia: Euglenaceae
Género: Euglena
Especie: E. gracilis
Importancia biológica: Organismo fotosintético y heterótrofo; útil para investigaciones sobre metabolismo dual.
Filo: Apicomplexa
Toxoplasma, gondii

Nombre común: Toxoplasma
Etimología:
Toxoplasma = forma arqueada como arco (griego: toxon = arco, plasma = forma)
gondii = en honor al roedor Ctenodactylus gundi
Taxonomía:
Filo: Apicomplexa
Clase: Conoidasida
Orden: Eucoccidiorida
Familia: Sarcocystidae
Género: Toxoplasma
Especie: T. gondii
Importancia biológica: Patógeno intracelular que causa toxoplasmosis; importante en salud humana y veterinaria.
Filo: Apicomplexa
Cryptosporidium, parvum

Nombre común: Cryptosporidium
Etimología:
Cryptosporidium = espora oculta (griego: kryptos = oculto, sporos = semilla)
parvum = pequeño (latín)
Taxonomía:
Filo: Apicomplexa
Clase: Gregarinasina
Orden: Eucoccidiorida
Familia: Cryptosporidiidae
Género: Cryptosporidium
Especie: C. parvum
Importancia biológica: Causa criptosporidiosis, enfermedad diarreica; resistente a desinfectantes en agua potable.
Filo: Euglenozoa
Phacus, longicauda

Nombre común: Phacus
Etimología:
Phacus = del griego phakos, lente (por su forma)
longicauda = de "cola larga" (latín: longus = largo, cauda = cola)
Taxonomía:
Filo: Euglenozoa
Clase: Euglenophyceae
Orden: Euglenales
Familia: Phacaceae
Género: Phacus
Especie: P. longicauda
Importancia biológica: Alga unicelular fotosintética; contribuye a la producción de oxígeno y es bioindicador.
Filo: Dinoflagellata
Alexandrium, catenella

Nombre común: Dinoflagelado tóxico
Etimología:
Alexandrium = en honor a Alexander (nombre propio)
catenella = en forma de cadena (latín catena)
Taxonomía:
Filo: Dinoflagellata
Clase: Dinophyceae
Orden: Gonyaulacales
Familia: Gonyaulacaceae
Género: Alexandrium
Especie: A. catenella
Importancia biológica: Produce toxinas que causan mareas rojas; afecta la salud humana y los ecosistemas marinos.
Filo: Dinoflagellata
Noctiluca, scintillans

Nombre común: Noctiluca (brillo nocturno)
Etimología:
Noctiluca = "luz nocturna" (latín nox = noche, lucere = brillar)
scintillans = centelleante (latín)
Taxonomía:
Filo: Dinoflagellata
Clase: Noctiluciphyceae
Orden: Noctilucales
Familia: Noctilucaceae
Género: Noctiluca
Especie: N. scintillans
Importancia biológica: Bioluminiscente; importante en cadenas tróficas marinas y en estudios ecológicos de fitoplancton.
Filo: Dinoflagellata
Ceratium, hirundinella

Nombre común: Ceratium
Etimología:
Ceratium = "cuernitos" (griego keras = cuerno)
hirundinella = diminutivo de "golondrina" (latín hirundo) por su forma
Taxonomía:
Filo: Dinoflagellata
Clase: Dinophyceae
Orden: Gonyaulacales
Familia: Ceratiaceae
Género: Ceratium
Especie: C. hirundinella
Importancia biológica: Fotosintético; participa en el equilibrio de ecosistemas acuáticos y puede causar floraciones.
Filo: Bacillariophyta
Navicula, pelliculosa

Nombre común: Diatomea Navícula
Etimología:
Navicula = "pequeña nave" (latín) por su forma
pelliculosa = con película, membrana fina (latín)
Taxonomía:
Filo: Bacillariophyta
Clase: Bacillariophyceae
Orden: Naviculales
Familia: Naviculaceae
Género: Navicula
Especie: N. pelliculosa
Importancia biológica: Diatomea fotosintética; produce oxígeno y es base de la cadena trófica acuática.
Filo: Bacillariophyta
Coscinodiscus, radiatus

Nombre común: Diatomea discoidal
Etimología:
Coscinodiscus = "disco colador" (griego: koskinon = tamiz, discus = disco)
radiatus = con radios (latín)
Taxonomía:
Filo: Bacillariophyta
Clase: Coscinodiscophyceae
Orden: Coscinodiscales
Familia: Coscinodiscaceae
Género: Coscinodiscus
Especie: C. radiatus
Importancia biológica: Diatomea marina; esencial en la producción de oxígeno y ciclo del silicio.
Filo: Bacillariophyta
Fragilaria, crotonensis

Nombre común: Diatomea Fragilaria
Etimología:
Fragilaria = de "frágil" o "fibroso" (latín fragilis)
crotonensis = de Croton, ciudad en EE.UU. donde se describió
Taxonomía:
Filo: Bacillariophyta
Clase: Fragilariophyceae
Orden: Fragilariales
Familia: Fragilariaceae
Género: Fragilaria
Especie: F. crotonensis
Importancia biológica: Diatomea dulceacuícola importante para el monitoreo de la calidad del agua.
Filo: Rhodophyta
Orphyra, umbilicalis

Nombre común: Alga nori
Etimología:
Porphyra = púrpura (griego porphyra)
umbilicalis = con forma de ombligo (latín)
Taxonomía:
Filo: Rhodophyta
Clase: Bangiophyceae
Orden: Bangiales
Familia: Bangiaceae
Género: Porphyra
Especie: P. umbilicalis
Importancia biológica: Usada en alimentación humana (nori); rica en proteínas, vitaminas y minerales.
Filo: Rhodophyta
Gracilaria, verrucosa

Nombre común: Alga roja
Etimología:
Gracilaria = probablemente de "grácil" (latín: delgado)
verrucosa = con verrugas o protuberancias (latín)
Taxonomía:
Filo: Rhodophyta
Clase: Florideophyceae
Orden: Gracilariales
Familia: Gracilariaceae
Género: Gracilaria
Especie: G. verrucosa
Importancia biológica: Fuente de agar usado en microbiología y alimentos; también usada en acuacultura.
Filo: Rhodophyta
Corallina, officinalis

Nombre común: Alga coralina
Etimología:
Corallina = como coral (latín corallium)
officinalis = usada en medicina tradicional (latín)
Taxonomía:
Filo: Rhodophyta
Clase: Florideophyceae
Orden: Corallinales
Familia: Corallinaceae
Género: Corallina
Especie: C. officinalis
Importancia biológica: Contribuye a la formación de arrecifes coralinos; rica en carbonato de calcio; usada en medicina tradicional.
Filo: Ochrophyta
Macrocystis, pyrifera

Nombre común: Alga gigante o alga parda
Etimología:
Macrocystis = "gran vejiga" (griego: makros = grande, kystis = vejiga)
pyrifera = "con forma de pera" (latín: pyrus = pera, ferre = portar)
Taxonomía:
Filo: Ochrophyta
Clase: Phaeophyceae
Orden: Laminariales
Familia: Laminariaceae
Género: Macrocystis
Especie: M. pyrifera
Importancia biológica: Forma bosques submarinos que sirven de hábitat; fuente de alginatos usados en industria alimentaria, farmacéutica y cosmética.
Filo: Chlorophyta
Ulva, lactuca

Nombre común: Lechuga de mar
Etimología:
Ulva = antiguo nombre latino para ciertas algas marinas
lactuca = lechuga (latín), por su forma similar
Taxonomía:
Filo: Chlorophyta
Clase: Ulvophyceae
Orden: Ulvales
Familia: Ulvaceae
Género: Ulva
Especie: U. lactuca
Importancia biológica: Indicador de contaminación por nutrientes (eutrofización); comestible; rica en minerales y vitaminas.
Filo: Amoebozoa
Entamoeba, histolytica
Enta = "dentro", histo = "tejido", "lytica" = "destruir"
-Filo: Amoebozoa
-Familia: Entamoebidae

-Clase: Archamoebae
-Género: Entamoeba
-Orden: Amoebida
- Especie: histolytica
Parásito humano; causa disentería amebiana.
Importancia: Parásito humano que causa disentería amebiana y su estudio es fundamental para la salud pública y el desarrollo de tratamientos antiparasitarios efectivos
